Ο διαδερμικός καυτηριασμός (θερμοπληξία) των πρωτοπαθών και δευτεροπαθών νεοπλασματικών εστιών του ήπατος
Του Αδάμ Χατζηδάκη, Καθηγητή Ακτινολογίας, Ιατρικής Σχολής Αριστοτέλειου Πανεπιστημίου Θεσσαλονίκης
Η διεθνώς αποδεκτή θεραπεία των κακοηθών νεοπλασιών του ήπατος είναι αυτή της χειρουργικής εκτομής. Όμως στις περισσότερες περιπτώσεις, η ριζική αυτή μέθοδος δεν μπορεί να εφαρμοστεί και έτσι διενεργούνται άλλες θεραπείες όπως η συστηματική ή/και η περιοχική χημειοθεραπεία. Ο διαδερμικός καυτηριασμός με τη χρήση ραδιοσυχνοτήτων ή μικροκυμάτων είναι μια σχετικά πρόσφατη, διαδερμικά εφαρμοζόμενη επεμβατική μέθοδος θεραπευτικής αντιμετώπισης των πρωτοπαθών και δευτεροπαθών ηπατικών νεοπλασιών. Φυσική αρχή της μεθόδου αποτελεί η έκλυση θερμικής ενέργειας με επακόλουθη νέκρωση του πάσχοντος ιστού-στόχου.
Αφού προηγηθεί τοπική αναισθησία και ενδοφλέβιος φαρμακευτικός κατευνασμός του ασθενούς, τοποθετείται διαδερμικά, με την καθοδήγηση υπερήχων, ή αξονικού τομογράφου η βελόνη-ηλεκτρόδιο εντός της ηπατικής εστίας, μέσω της οποίας μεταδίδονται οι ραδιοσυχνότητες ή τα μικροκύματα. Το τελικό αποτέλεσμα κρίνεται άμεσα με την εφαρμογή της εφαρμοζόμενης απεικονιστικής μεθόδου ή σε δεύτερο χρόνο μερικές εβδομάδες αργότερα.

(Διαδερμική παρακέντηση αντένας μικροκυμάτων, παράλληλα με μικρότερη βελόνα-οδηγό)
Στα περισσότερα κέντρα η μέθοδος εφαρμόζεται σε ασθενείς με τέσσερις ή λιγότερες πρωτοπαθείς ή δευτεροπαθείς ηπατικές εστίες με μέγεθος κάτω των 4 εκατοστών. Ιδανικές για καυτηριασμό με ραδιοσυχνότητες θεωρούνται εστίες μικρότερες από 3 εκατοστά, που περιβάλλονται εξ’ ολοκλήρου από ηπατικό παρέγχυμα, απέχουν πάνω από ένα εκατοστό από την ηπατική κάψα και πάνω από 2 εκατοστά από τους μεγάλους κλάδους της πυλαίας και των ηπατικών φλεβών. Οι υποκάψιοι όγκοι δύναται να καυτηριαστούν, συνήθως όμως ο καυτηριασμός τους συνδυάζεται με έντονο άλγος λόγω ερεθισμού της ηπατικής κάψας. Bάση των μέχρι τώρα δημοσιευμένων κλινικών αποτελεσμάτων, πλήρης νέκρωση των μεταστατικών εστιών επιτυγχάνεται σε όλες τις εστίες έως 2 εκατοστά.
Το ποσοστό αυτό μειώνεται στο 70% για εστίες 2-3 εκατοστών και στο 58% για εστίες άνω των 3 εκατοστών. Τα χρονικά διαστήματα για τα οποία οι ασθενείς ήταν ελεύθεροι νόσου ανέρχονται σε 6, 12, 24 και 36 μήνες για το 84%, 54%, 31% και το 10% των ασθενών αντίστοιχα. Η δε συνολική επιβίωση για ασθενείς με μεταστάσεις από νεοπλάσματα του γαστρεντερικού σωλήνα, ανέρχεται σε 1 έτος για το 90% των ασθενών από την εμφάνιση της πρώτης μετάστασης, 2 έτη για το 63%, 3 έτη για το 37%, 4 έτη για το 27% και 5 έτη για το 10%. Σε άλλη μελέτη 89 ασθενών με 120 ηπατικές μεταστάσεις που καυτηριάστηκαν με τη βοήθεια ραδιοσυχνοτήτων η επιβίωση μετά από 1, 2 και 3 έτη ήταν 89%, 62% και 38% αντίστοιχα. Στη διεθνή βιβλιογραφία η τριετής αυτή επιβίωση δε διαφέρει στατιστικά σημαντικά από την αντίστοιχη της χειρουργικής εκτομής, η οποία κυμαίνεται από 34-43%. Σοβαρές επιπλοκές, που όμως δεν ήταν θανατηφόρες, σημειώθηκαν στο 0,8% των ασθενών ενώ σε χειρουργικές σειρές η θνητότητα και η νοσηρότητα κυμαίνονται από 1,5-9% και 10-30%, αντίστοιχα.

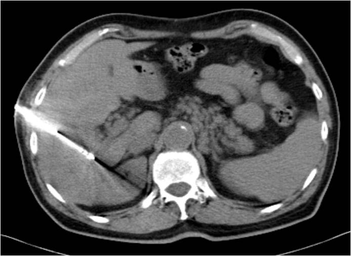
(Απεικόνιση της αντένας εντός της ηπατικής εστίας με βοήθεια Αξονικής Τομογραφίας)
Σε μελέτη 259 ασθενών με 376 πρωτοπαθή ηπατοκυτταρικά καρκινώματα (ΗΚΚ) πλήρης νέκρωση επιτεύχθηκε στο 82%, 65% και 32% των εστιών μεγέθους 1-3 , 3-5 και 5-7 εκατοστά, αντίστοιχα. Σε άλλη σειρά 41 ηπατοκυταρικών καρκίνων μικρού μεγέθους (κάτω των 3 εκατοστών) το ποσοστό επιβίωσης ήταν 96% τον πρώτο χρόνο, 86% το δεύτερο, 68% τον τρίτο και 40% τον τέταρτο και πέμπτο.
Ο διαδερμικός καυτηριασμός δεν εφαρμόζεται σε ασθενείς με διαταραχές πηκτικότητας λόγω του αυξημένου κινδύνου αιμορραγίας. Σχετικές αντενδείξεις αποτελούν η διήθηση του ήπατος σε ποσοστό που υπερβαίνει το 50% του παρεγχύματός του ή όταν υπάρχει μεγάλος αριθμός μεταστάσεων (πάνω από 4-5), και όταν αυτές έχουν μεγάλες διαστάσεις (πάνω από 4-5 εκατοστά). Απαραίτητη προϋπόθεση αποτελεί η καλή συνεργασία του ασθενούς. Οι σοβαρές επιπλοκές της μεθόδου δεν είναι συχνές. Αυτές είναι η αιμορραγία και το σηπτικό shock που εμφανίζονται στο 1 % και το 0,3 % των ασθενών αντίστοιχα. Το 30% των ασθενών αισθάνεται ήπιο έως μέτριο πόνο ενώ το 7% παρουσιάζει δεκατική πυρετική κίνηση.

Συνοψίζοντας, ο διαδερμικός καυτηριασμός κακοήθων βλαβών ήπατος αποτελεί μια πολλά υποσχόμενη μέθοδο της Επεμβατικής Ακτινολογίας για την αντιμετώπιση των πρωτοπαθών και δευτεροπαθών νεοπλασματικών εστιών, τα αποτελέσματα της οποίας βελτιώνονται συνεχώς με την αποκτούμενη κλινική εμπειρία και την τεχνολογική εξέλιξη.
*Διεύθυνση Επικοινωνίας:
Aδάμ Xατζηδάκης, Καθηγητής Ακτινολογίας, Εργαστήριο Aκτινολογίας, Μονάδα Επεμβατικής Ακτινολογίας, Πανεπιστημιακό Νοσοκομείο ΑΧΕΠΑ
Τηλ. 6944-513233
Ε-mail: [email protected]
Διαβάστε επίσης:
Τι είναι η επεμβατική ακτινολογία
Διαδερμικός ενδοαρτηριακός εμβολισμός των ινομυωμάτων της μήτρας
-
28 Απριλιου 2026, 21:30Μονή Χρυσοπηγής Χανίων: Τι συνέβη με τη μνημόνευση του Μητροπολίτη και το θέμα έφθασε στο Φανάρι -
30 Απριλιου 2026, 11:07Θανατηφόρο τροχαίο - Μεσαρά: Το απόγευμα το τελευταίο «αντίο» στη 12χρονη Αγλαΐα – Πενθούν οι συμμαθητές της, ακυρώνονται εκδηλώσεις -
29 Απριλιου 2026, 09:10Χανιά: Αναβολή στη δίκη των 4 εκκλησιαστικών παραγόντων και 2 λαϊκών για απείθεια-Τι είχε συμβεί σε Μονή και τους οδήγησε στη Δικαιοσύνη -
28 Απριλιου 2026, 22:45Θλίψη στις Αρχάνες για την απώλεια της Βικτώρια Τρέτσιακ -
30 Απριλιου 2026, 09:25Στο πένθος η Μεσαρά: Δεν τα κατάφερε η 12χρονη που τραυματίστηκε στο τροχαίο - Υπέκυψε τα ξημερώματα στο ΠΑΓΝΗ -
29 Απριλιου 2026, 07:00Τυμπάκι: Έπεσαν απότομα οι τιμές στον παραγωγό, όχι όμως και στο ράφι – Στο newshub.gr οι εκπρόσωποι του συνεταιρισμού
